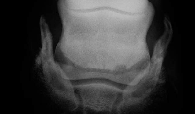
Zubildungen

Starke Zubildung am oberen und unteren Rand. Im osteolytischen Bereich rechts evtl. Ausrissfraktur.