p1

Index

V-10.08.04

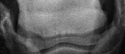
Oxspringaufnahme

Oxspringaufnahme

Verdächtiger Bereich auf der linken unteren Seite des Strahlbeines