p1

Index

V-10.08.04

Ultraschall

Ultraschall

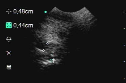
Normaler Weichteilbefund am Strahlbein mit fraglicher Gewebsverdichtung am unteren Strahlbeinband