p1

Index

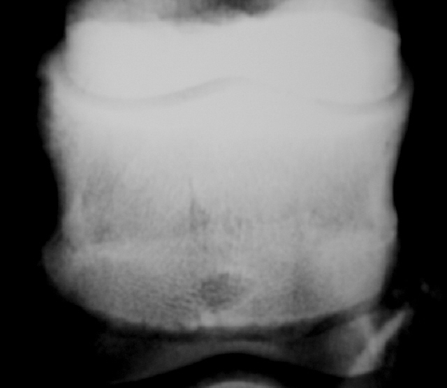
V-10.08.04

Oxspringaufnahme

Oxspringaufnahme

Zentraler Defekt im Strahlbein