p1

Index

V-10.08.04

Flacher Huf

Flacher Huf

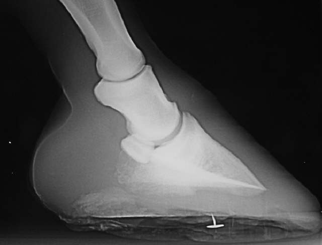
Flacher Huf mit gequetschten Trachten und Atrophie der Hufbeinäste. Der Reissnagel dient als Orientierung für den Schmied.