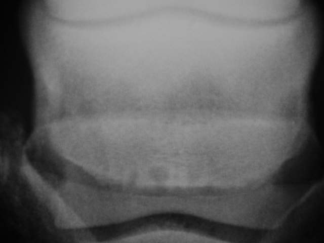
Krankh. Gefäßkanäle

Deutlich kolbenförmig ausgebildeter Gefäßkanal in der Mitte, der als krankhaft eingestuft wird. Solch eine Veränderung muss aber nicht immer mit Schmerzen verbunden sein. Röntgenklasse III