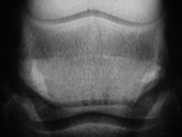
Krankh. Gefäßkanäle

Leicht kolbige Ausprägung einiger Gefäßkanäle, deren Größe stark variiert. Röntgenklasse III