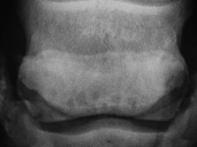
Krankh. Gefäßkanäle

Osteolytische, "ausgebeulte" Gefäßkanäle und Knochenumbauveränderungen im Strahlbein (Sklerose) Röntgenklasse IV