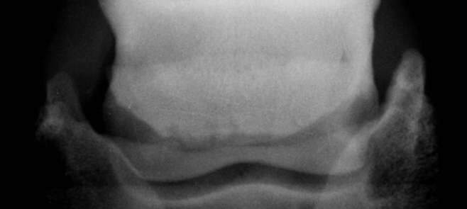
Krankh. Gefäßkanäle

Deutlich ausgeprägte z.T. lollypopartig ausgebildete z. T. randständige Gefäßkanäle