p1

Index

V-10.08.04

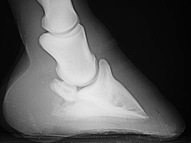
Sinker

Sinker

Abgesunkenes Hufbein. Die Haltestruktur des Hufbeins in der Hornkapsel ist zerstört.