p1

Index

V-10.08.04

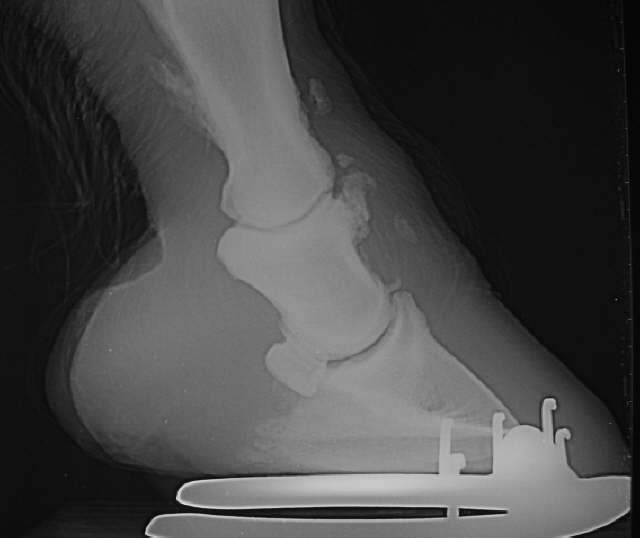
Sinker

Sinker

Abgesunkenes Hufbein mit starken Veränerungen an den Anheftungsstellen der Gleichbeinbänder sowie Huf- und Krongelenksarthrose.