p1

Index

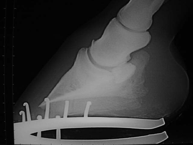
V-10.08.04

Hufknorpelverkn.

 

Hufknorpelverknöcherung von der Seite gesehen (Der Flügel, der das Strahlbein überlagert)