p1

Index

V-10.08.04

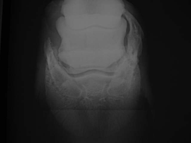
Hufknorpelverkn.

 

Starke Hufknorpelverknöcherung rechts, die aber bei diesem Pferd keine Lahmheit verursacht hat