p1

Index

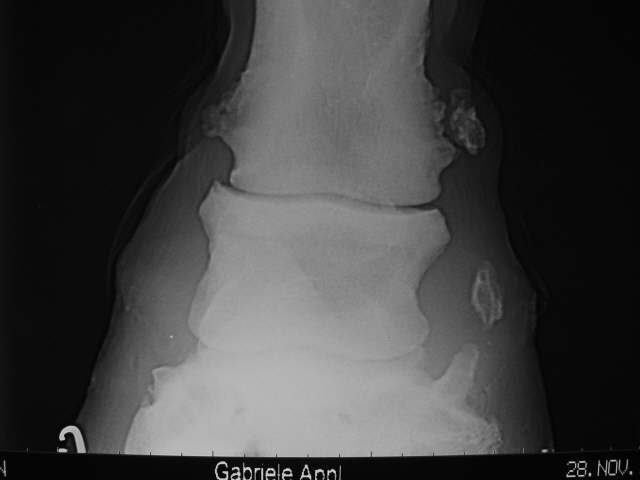
V-10.08.04

Hufknorpelverkn.

 

Isolierte Verknöcherung im Hufknorpel rechts und hochgradige Krongelenksarthrose mit Mineralisation