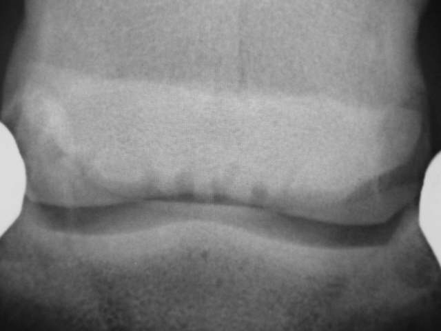
Krankh. Gefäßkanäle

Deutliche Ausprägung von Gefäßkanälen, die zum Teil verzweigt sind, ein im linken Strahlbeinflügel liegender Kanal, unruhige Knochenkontur mit Verstärkung des linken Flügels. Röntgenklasse IV