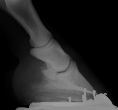
Seitliches Röntgenbild

Seitliches Röntgenbild

Seitliches Röntgenbild

Seitliche Röntgenaufnahme abgesehen von Hufknorpelverknöcherung weitgehend unauffällig