Zysten

Als Zysten werden Zonen mit Knochenauflösung bezeichnet. Solche Veränderungen sind immer krankhaft und führen früher oder später zur Lahmheit. Zysten entwickeln sich in Verlängerung veränderter Gefäßkanäle oder unabhängig von ihnen im Zentrum des Strahlbeines.

Zu katastrophalen Folgen führt der Einbruch der Knochenschale über einer Zyste, da dann die tiefe Beugesehne an den Bruchkanten reibt und über kurz oder lang durchscheuert. Betroffene Pferde sind hochgradig lahm.

Hufrolle005902

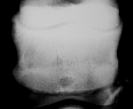
Bei diesem Beispiel hat sich im Strahlbein eine Zyste gebildet und der untere Rand des Strahlbeines ist in Auflösung begriffen. In solch einem Kategorie IV bzw. Grad 4 Fall ist an eine Euthanasie zu denken, da der Defekt unheilbar und mit dauerhaften Schmerzen verbunden ist.

DSC0557302
DSC05569 F
Der Einbruch der Gleitfläche ist ein Todesurteil, da hier keine Heilung möglich ist. An diesem Bild kann man auch gut die Veränderungen der oberen und unteren Kontur nachvollziehen.

 

Nach oben

Befunde Menue

Nächste Seite